経静脈電極抜去術(レーザーシースを用いるもの) によるリード抜去について
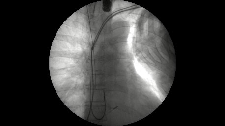
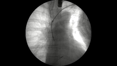
当院が施設認定を受け、「経静脈電極抜去術(レーザーシースを用いるもの)によるリード抜去」の第一例目を2016年6月9日に開始して1年以上経過しました。これまで他県に依頼してきた手技が、鹿児島でもようやく可能となり、南九州では初めてのことでした。第一例目開始から2017年6月2日までの初期の1年間で、15症例、計28本のリード抜去術を施行し、現在まで全例のリード抜去に成功しています。
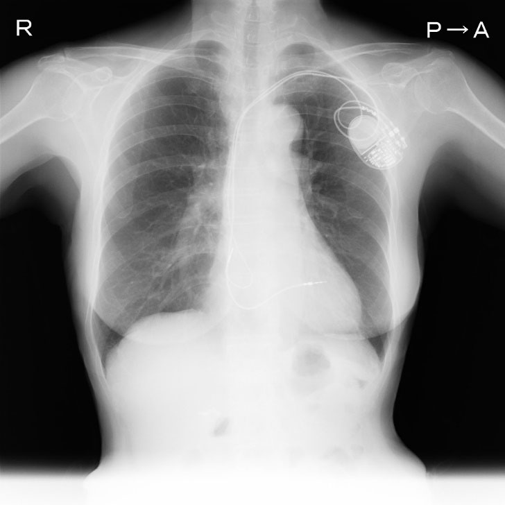
ペースメーカ等の不整脈デバイス治療の手術件数は全国で年間6万件以上が行われており、デバイス治療に関連した合併症も散見され、特に感染を合併した際にはリードを含めたすべての異物除去が必須であることは広く認知されています。
デバイス感染が起きると敗血症や感染性心内膜炎などを起こす恐れもあるため、リードを抜き取る必要があります。リードは植え込まれている年数が長い場合は、静脈や心臓の壁に癒着を起こし牽引しても抜けない状態になります。過度の牽引は血管損傷や穿孔といった致死的な合併症を引き起こす可能性が高く、開胸手術による摘出が行われていました。
エキシマレーザーシースによるリード抜去は、1997年FDAに認可されて以来、欧米にて急速に普及し高い成功率と安全性が報告されており、我が国においても2008年厚生労働省の認可を受け施行可能となり、施設基準があるものの2010年より保険適用となりました。
リード抜去は心タンポナーデ、鎖骨下と上大静脈の血管損傷や血気胸などの重篤な合併症があり、すぐに開胸して止血術を行わなければならないために心臓血管外科の待機下で施行が必要です。








